
Plus de 8 millions de personnes ont été diagnostiquées avec la tuberculose l’année dernière, a déclaré mardi l’Organisation mondiale de la santé. Il s’agit du nombre le plus élevé jamais enregistré depuis que l’agence sanitaire des Nations unies a commencé à en tenir le compte.
Environ 1,25 million de personnes sont mortes de la tuberculose l’année dernière, selon le nouveau rapport, qui ajoute que la tuberculose est probablement redevenue la maladie infectieuse la plus meurtrière au monde après avoir été remplacée par la Covid-19 pendant la pandémie. Ces décès représentent presque le double du nombre de personnes tuées par le VIH en 2023.
Selon l’OMS, la tuberculose continue de toucher principalement les populations d’Asie du Sud-Est, d’Afrique et du Pacifique occidental ; l’Inde, l’Indonésie, la Chine, les Philippines et le Pakistan représentent plus de la moitié des cas recensés dans le monde.
« Le fait que la tuberculose continue de tuer et de rendre malade un si grand nombre de personnes est un scandale, alors que nous disposons des outils nécessaires pour la prévenir, la détecter et la traiter », a déclaré le directeur général de l’OMS, Tedros Adhanom Ghebreyesus, dans un communiqué.
Toutefois, le nombre de décès dus à la tuberculose continue de baisser dans le monde et le nombre de personnes nouvellement infectées commence à se stabiliser. L’agence a noté que sur les 400 000 personnes estimées atteintes de tuberculose résistante aux médicaments l’année dernière, moins de la moitié ont été diagnostiquées et traitées.
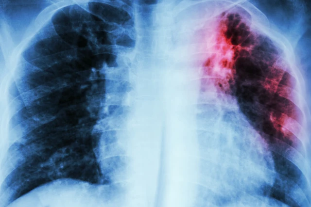
La tuberculose est une maladie contagieuse causée par une bactérie en suspension dans l’air qui affecte principalement les poumons. On estime qu’environ un quart de la population mondiale est atteint de tuberculose, mais seuls 5 à 10 % d’entre eux développent des symptômes.
Des groupes de défense, dont Médecins sans Frontières (MSF), demandent depuis longtemps à la société américaine Cepheid, qui produit les tests de dépistage de la tuberculose utilisés dans les pays pauvres, de les mettre en vente au prix de 5 dollars par test afin d’en accroître la disponibilité. Au début du mois, MSF et 150 partenaires du secteur de la santé mondiale ont adressé à Cepheid une lettre ouverte lui demandant de « donner la priorité à la vie des gens » et de contribuer d’urgence à la généralisation des tests de dépistage de la tuberculose dans le monde.
Source: Africanews / AP























