
Vous avez l’habitude de retenir vos éternuements? Cessez de le faire sur-le-champ, selon les médecins.
Un nouveau rapport de cas, publié par le journal médical BMJ Case report, montre que cette habitude peut être dangereuse.
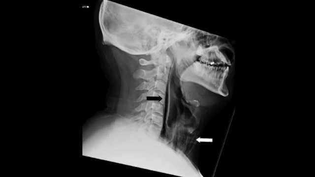
Un Britannique de 34 ans, en parfaite santé, a subi une perforation à l’intérieur de la gorge après avoir retenu un éternuement en pinçant son nez et en fermant sa bouche.
Il a dû être hospitalisé, avait du mal à parler, avaler, avait le cou enflé et des douleurs considérables, rapporte le site Live Science.
Il n’a pas senti de problème immédiatement, mais a commencé à ressentir de la douleur dans la gorge et le cou plusieurs heures plus tard. Lorsque sa voix s’est mise à changer, et que son cou a commencé à enfler, il s’est rendu à l’hôpital, indique le rapport d’incident rendu public lundi.
Lors de l’examen, les médecins ont remarqué un bruit de craquement lorsqu’ils pressaient de chaque côté du cou, son qui s’étendait jusque dans sa cage thoracique.

Le symptôme, un crépitement, se déclenche lorsque des bulles d’air se logent dans les tissus mous, sous la peau.
Des examens plus poussés ont confirmé le problème.
Les tests ont montré des stries d’air dans la région rétropharyngienne et un important emphysème chirurgical dans le cou antérieur à la trachée. En d’autres termes, en essayant de garder son éternuement, il a fait un petit trou dans sa gorge. Heureusement, la perforation était très petite.
Réflexe protecteur
L’éternuement est le réflexe protecteur du corps qui a besoin de se débarrasser d’un irritant qui a pénétré dans le nez.
Avec un éternuement, une quantité importante de pression d’air s’accumule dans les poumons et se fraye un chemin à travers la cavité nasale pour se débarrasser de cet irritant.
Un éternuement peut propulser des gouttelettes de mucus à une vitesse de 160 km à l’heure. Si vous retenez un éternuement, cet air pressurisé devra être poussé quelque part.
Dans le passé, les médecins ont également vu un éternuement étouffé causer des problèmes de sinus, des dommages à l’oreille moyenne et interne, des infections de l’oreille et un tympan rompu.
Le patient anglais a reçu des antibiotiques et a dû être alimenté par un tube, qui a été retiré après sept jours.
Ses symptômes se sont améliorés pendant qu’il se reposait et graduellement il a été capable de manger des aliments mous.
Il s’en est sorti sans séquelles, mais avec une leçon qu’il a apprise à la dure.
Source : TVA + JDM + Daily Mail























